アリス矯正歯科 医院のご案内
矯正歯科のすすめ
矯正歯科の料金
矯正治療例
矯正治療のQ&A
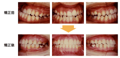
八重歯の治療例
歯が重なり合って生えている状態を叢生(そうせい)といいます。八重歯や凸凹の歯並びのことです。
歯みがきが非常にしずらい為、虫歯や歯周病になりやすいです。

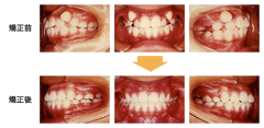
出っ歯の治療例
出っ歯の方は歯がじゃまで口を閉じにくいために、いつも口を開けています。このため、口の中が乾燥し、口の粘膜の細菌に対する抵抗力が弱くなりやすいのです。ですから、出っ歯の方は上の前歯の歯ぐきが赤く腫れています。こういう状態の歯ぐきは歯周病になりやすいので注意が肝心です。
反対咬合の治療例
かんだとき、上の歯が前になるのが正常ですが、逆に下の歯が上より前に出ているかみあわせを反対咬合といいます。反対咬合の方は、前歯が引っかかるために奥歯できちんと食べ物をすりつぶすことができません。
反対咬合を治療することにより、あごを正しく動かせるようになり、下あごの前突感や左右のずれも少なくなったり、解消することがあります。

▲ページ上部へ

Copyright(C) 2011 ALICE DENTAL CLINIC ORTHODONTICS. All Rights Reserved.